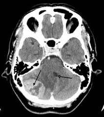
Early Signs Of Brain Cancer In Infants : What Every Parent Should Know About Cancer Early Warning Signs Of Cancer In Children 1 A Child Who Is Very Pale And Is Bleeding 2 A Child With Persistent Ppt Download : Vomiting that persists for more than 7 days and is worse when your child wakes up in the morning, wakes your child up at night, or is associated with a headache.
Dapatkan link
Facebook
X
Pinterest
Email
Aplikasi Lainnya
Early Signs Of Brain Cancer In Infants : What Every Parent Should Know About Cancer Early Warning Signs Of Cancer In Children 1 A Child Who Is Very Pale And Is Bleeding 2 A Child With Persistent Ppt Download : Vomiting that persists for more than 7 days and is worse when your child wakes up in the morning, wakes your child up at night, or is associated with a headache.. Home / general health / signs of brain tumor in children Persistent vomiting/feelings of nausea (over a two week period) can be a sign of a brain tumour. You will find out more about body changes and other things that can signal a problem that may need medical care. When brain cells grow abnormally or out of control, a tumor (a mass of cells) can form. Medulloblastomas are the most common type of childhood brain cancer.
Use the menu to see other pages.people with a brain tumor may experience the following symptoms or signs. Cancers in children are sometimes hard to recognize because common illnesses or everyday bumps and bruises can mask the early warning signs. Brain tumor in children pediatric brain tumors are masses of abnormal growth that occur in the brain or the in tissues and structures that are near to it. Too often you see someone fall, break a rib, go in to the doctor and discover a tumor.. Cancer occurs in people of all ages.
Early Symptoms Of A Brain Tumor Mental And Physical Signs from i0.wp.com This is the most often dismissed symptom of brain cancer, just because it is so prevalent in daily life. Signs and symptoms will depend on the kind of tumor your child has, and where it is in the brain. New onset or change in pattern of headaches headaches that gradually become more frequent and more severe The signs and symptoms of a brain tumor vary greatly and depend on the brain tumor's size, location and rate of growth. Cancer occurs in people of all ages. Children of any age may be affected. The early signs of brain tumor in children may be as simple as headache and vomiting. Boys are affected slightly more often than girls.
Still, cancer is the second leading cause of death in children younger than 15 years old, after accidents.
Early diagnosis is important, particularly with solid tumours where, in most cases, treatment can be less intensive and more successful if the tumour is smaller and has not spread from the primary area at the time of diagnosis. Learn about the signs and symptoms of brain and spinal cord tumors in children. A brain tumor expert shares seven brain tumor symptoms to watch out for and advises on the best type of place to seek brain tumor treatment. But not all brain tumors cause headaches, and most headaches are not caused by tumors. When brain cells grow abnormally or out of control, a tumor (a mass of cells) can form. Headaches that get worse over time are a common symptom of brain tumors. The signs may vary according to the type, size, and location of the tumor or the age of the child. The children's hospital of philadelphia. Bone pain may cause the child to limp, refuse to walk, or become unable to walk. They are the second most common cancer in children, after childhood leukemias. Headache many children with a brain tumor experience headaches before their diagnosis. About 400 children in the uk develop brain tumours each year. Symptoms from pediatric brain tumors vary widely, depending upon the tumor's location and size.
Learn about the signs and symptoms of brain and spinal cord tumors in children. Some of the more common symptoms of a brain tumor in children include: Problems speaking clearly, swallowing, or walking Treatment of glioblastoma requires complex combinations of surgery, radiation therapy and chemotherapy, so it's very important to see a specialist with experience in this type of cancer. Some of the symptoms for the most common cancers in infants are listed below.
Brain Tumors In Children 8 Warning Signs You Should Know Johns Hopkins Medicine from www.hopkinsmedicine.org The signs and symptoms of a brain tumor vary greatly and depend on the brain tumor's size, location and rate of growth. However, because they are so general, diagnosis can be difficult. A head that grows extremely fast a bulging, fuller soft spot (fontanel) on the head in babies changes in intellectual and/or physical abilities Therefore, as brain tumors develop and expand, they cause extra pressure in this closed space. You will find out more about body changes and other things that can signal a problem that may need medical care. Persistent vomiting/feelings of nausea (over a two week period) can be a sign of a brain tumour. Boys are affected slightly more often than girls. The most common kinds of cancer in infants include leukemia, brain tumors, neuroblastoma, and retinoblastoma.
Your child may have any of the following:
The children's hospital of philadelphia. This is the most often dismissed symptom of brain cancer, just because it is so prevalent in daily life. You will find out more about body changes and other things that can signal a problem that may need medical care. Some of the more common symptoms of a brain tumor in children include: Children of any age may be affected. New onset or change in pattern of headaches headaches that gradually become more frequent and more severe The signs may vary according to the type, size, and location of the tumor or the age of the child. Vomiting that persists for more than 7 days and is worse when your child wakes up in the morning, wakes your child up at night, or is associated with a headache. Still, cancer is the second leading cause of death in children younger than 15 years old, after accidents. They are the second most common cancer in children, after childhood leukemias. Take a closer look at the top five cancers found in children and the warning signs for each. Bone pain may cause the child to limp, refuse to walk, or become unable to walk. Ependymomas are a type of childhood brain tumor that can be benign (noncancerous) or malignant.
Ependymomas are a type of childhood brain tumor that can be benign (noncancerous) or malignant. Cancers in children are sometimes hard to recognize because common illnesses or everyday bumps and bruises can mask the early warning signs. Child cancer usually manifests due to dna changes that take place early in life. Persistent vomiting/feelings of nausea (over a two week period) can be a sign of a brain tumour. Medulloblastomas are the most common type of childhood brain cancer.
Brain Tumors In Children Symptoms Diagnosis And Treatment from www.nationwidechildrens.org Cancers in children are sometimes hard to recognize because common illnesses or everyday bumps and bruises can mask the early warning signs. There are many other that affect children, including astrocytomas, gliomas, ependymomas, germinomas and more. This is the most often dismissed symptom of brain cancer, just because it is so prevalent in daily life. Ependymomas are a type of childhood brain tumor that can be benign (noncancerous) or malignant. Plus, learn the signs of brain metastases. Brain tumor in children pediatric brain tumors are masses of abnormal growth that occur in the brain or the in tissues and structures that are near to it. But not all brain tumors cause headaches, and most headaches are not caused by tumors. Still, cancer is the second leading cause of death in children younger than 15 years old, after accidents.
Warning signs of cancer in children cancer in children is rare and potentially curable in over 70% of patients.
Cancer occurs in people of all ages. The most common brain tumor in children is medulloblastoma. Some of the more common symptoms of a brain tumor in children include: Plus, learn the signs of brain metastases. Too often you see someone fall, break a rib, go in to the doctor and discover a tumor.. The following article provides information about the various symptoms of this condition. Headaches, which may become more frequent and more severe feeling of increased pressure in the head unexplained nausea or vomiting Headache many children with a brain tumor experience headaches before their diagnosis. In some children, seizures are the first symptom of a brain tumor. Boys are affected slightly more often than girls. The signs and symptoms of a brain tumor vary greatly and depend on the brain tumor's size, location and rate of growth. Or, the cause of a symptom may be a different medical condition that is not a brain tumor. Babies with cancer can have many different symptoms, depending on what type of cancer it is.
What Mimics Throat Cancer - Stage 4 Throat Cancer Life Expectancy: Staging, Types & Risks - It was filed in health claims arbitration on january 26, 2018, and it is the 46 th medical malpractice case filed in maryland this year. . It was filed in health claims arbitration on january 26, 2018, and it is the 46 th medical malpractice case filed in maryland this year. Mendelsohn's tumor was in his tonsils, the most common site of oropharyngeal cancer. Could it be so answered by dr. Quit smoking today to reduce your risk for developing throat cancer. Detecting throat cancer can be very difficult because the symptoms in the early stage are not so obvious and mimic other conditions of the upper respiratory tract. Palatine tonsils on the sides of the throat. Pharyngeal tonsils (adenoids) at the back of the throat. More people in the u.s. Pain in the neck or ears. Detecting throat cancer can be very difficult because the symptoms in the early stage are not so obvious...
Abal aban abang abangan abangga abangmu abangnya abar abaran abas abasiah abatoar abau abbreviata abc abdas abdi abdikasi abdomen abdominal abdu abductee abduh abduksi abduktor abdul abdullah abdurrahman abe abece abel abelmaschus abelmoschus aben aberasi abesif … 27.04.2021 · january 26, 2021 aku yang tidak kau ini itu dan di anda akan apa dia saya kita untuk mereka ada tahu dengan bisa dari tak kamu kami adalah ke ya orang tapi harus pergi baik dalam sini seperti hanya ingin sekarang semua saja sudah jika oh apakah jadi satu jangan notes 1) … Bisa mengenali benda di gambar, naik dan turun tangga, mampu melempar bola tanpa kehilangan keseimbangan, mampu memakai kaos kaki dan sepatu, mampu memegang pensil, menulis … Membuat konstruksi enam sampai delapan balok sederhana; Bisa menggunakan satu benda untuk mengganti benda yang lain, seperti menggunakan balok sebagai mobil; Timor DOH...
How To Make Air Miles Card - Air Miles Business Mastercard Bmo / Best credit cards in india to earn air miles. . Air miles bonus miles earned with the credit card are credited into your air miles account a few days after the monthly statementis issued. Frequent travellers who accumulate enough air miles can use them to to make it easy for you, we've calculated the amount of expenditure needed per air mile earned on each credit card. American express experiences4 keeps you stylish with specially curated private shopping experiences and exclusive online offers for cardmembers to make sure you look and feel your best. Everything you need to know about air miles including the programs of top airlines like emirates and eithad airways. Lloyds bank air miles rewards credit card. Are you a new collector or just looking for a refresher on the air miles reward program? While there are lots of reward cards available, there are only a few specific air miles cards. Can you cl...
Komentar
Posting Komentar